为提升我院护理人员压力性损伤的护理水平,减少院内压力性损伤事件的发生,11月26日,护理部在门诊二楼会议室组织开展了2025年第四季度三基三严专题培训。本次培训聚焦《2025年第四版国际压...
查看详情11月22日上午,以“有幸遇见 时光恰好”为主题的青年职工联谊活动在天府新区兴隆湖畔浪漫启幕,为寒意渐浓的时节注入满满暖意。本次活动由东方电气集团团委主办,东方汽轮机团委、总部直属...
查看详情为创新党建活动形式,深化党员传统文化教育,11月25日下午,我院行政第一党支部、临床医技科室第二党支部赴眉山三苏祠博物馆,与三苏祠博物馆党支部联合开展党建联谊活动。党员们在讲解中参...
查看详情近日,由白求恩精神研究会检验医学分会、中国老年保健协会实验医学分会联合主办,检验医学网与昆明市延安医院共同承办的“首届检验与临床融合临床免疫案例征集大赛——西南地区决赛”在昆明...
查看详情11月23日,由四川省医疗卫生指导中心主办的四川省第二届医疗质量安全改进目标品管圈优秀案例现场交流活动在成都举行,我院麻醉科“舒心圈”项目获“质跃组”二等奖,急诊科“时安圈”项目获...
查看详情11月20日,我院盆底疾病中心成功举办“优悠行·尿失禁诊疗规范化培训”。本次培训由盆底疾病中心沈宏教授与罗德毅教授牵头,来自全国11个省市的12名专家学者参加,围绕尿失禁的规范化诊疗展开...
查看详情为规范医院安保值班应急处置流程,严明值班值守纪律,切实提升安保队伍应对各类突发事件的快速响应、科学处置能力,筑牢“平安医院”建设安全防线,11月20日,运行保障部安全保卫科组织开展...
查看详情11月20日下午,上海市医院协会医院廉洁建设专委会路新畅主任委员一行来院开展调研交流。我院纪委书记刘茜,组织部、医务部负责人参加交流活动。四川大学华西医院纪委办公室(监察处)纪检监...
查看详情11月13-16日,“华西-梅奥国际重症医学大会2025”在成都举行。本次大会由四川省国际医学交流促进会、重症医学医疗服务能力建设联盟(ACCE)主办,四川大学华西医院、四川省国际医学交流促进...
查看详情11月17日下午,由资阳市中心医院(四川大学华西医院资阳医院)医务部张琴琴副主任带领的考察团一行来我院开展参观学习,深入了解我院静脉用药调配中心(PIVAS)整体设计布局与规范化建设。我...
查看详情11月17日下午,我院在行政楼党员活动室召开干部任前谈话会。党委书记饶莉、党委组织部相关同志参加会议。会上,饶莉书记代表医院党政领导班子对医务部医保科科长表示祝贺和欢迎。随后,她从...
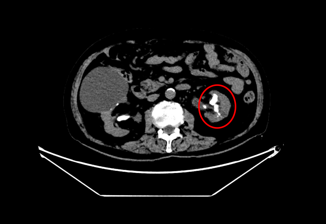
查看详情近日,真人电子网址泌尿外科魏武然主任医师团队成功为一名86岁高龄患者实施“左侧经皮肾镜钬激光碎石取石术+左侧输尿管支架管置入术”。目前患者已顺利康复出院,术后一个月门诊复查...
查看详情近日,由我院神经内科承办的四川省神经内科质控中心第五期重症脑损伤评估技术培训班在我院举办,来自省内24家医院的神经内科、神经外科、重症医学科、急诊科及麻醉科等科室共60余名学员参加...
查看详情近日,遵义市第一人民医院党委委员、副院长罗勇携医疗美容科及相关职能部门负责人一行来我院整形美容科调研交流。我院金涛副院长,整形美容科、医务部、财务部相关负责人参加交流活动。金涛...
查看详情11月15日,由四川省医学科技创新研究会主办、四川省医创会医学与传媒互促研究分会承办的“健康智造·创意传播”2024-2025年度健康科普优秀作品讲解大赛及评奖交流会在成都举行。来自全省各级...
查看详情