2021年5月,四川大学华西医院临床病理研究所/卫健委移植工程与移植免疫重点实验室石毓君研究员和肝脏外科/肝脏移植研究室杨家印教授团队联合在肝脏病学领域顶尖期刊《Hepatology》(IF:14.679...
查看详情近日,四川大学华西医院生物治疗国家重点实验室陈俐娟研究员团队在Science Advances(IF=13.116)发表题为《Cevipabulin-tubulin complex reveals a novel agent binding site on α-tubulin w...
查看详情2021年5月11日,“临床医学四大刊”之一的BMJ(IF:30.223)期刊以封面文章形式发表四川大学华西医院临床医生牵头的新型降糖药物SGLT-2抑制剂和GLP-1受体激动剂治疗2型糖尿病的国际临床实践...
查看详情近日,四川大学华西医院生物治疗国家重点实验室/急诊科逯光文教授团队,在国际知名学术期刊Nucleic Acids Research(IF:11.501)发表了题为“Crystal structure of SARS-CoV-2 nsp10 bound ...
查看详情近日,四川大学华西医院泌尿外科曾浩教授团队、病理科陈铌教授团队、放射科姚晋教授团队合作在国际知名期刊《Clinical Cancer Research》(IF=10.107)发表了题为“Integrated Molecular Cha...
查看详情2021年4月,四川大学华西医院药剂科何金汗教授团队研究成果“Feeding-induced hepatokine, Manf, ameliorates diet-induced obesity by promoting adipose browning via p38 MAPK pathway”...
查看详情近日,四川大学华西医院泌尿外科/器官移植中心林涛教授、王显丁副教授团队在Clinical Infectious Diseases发表题为“Kidney Transplantation From Hepatitis B Surface Antigen (HBsAg)-Posi...
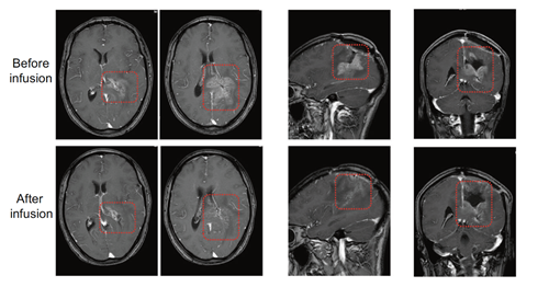
查看详情近日,四川大学华西医院小儿外科儿童脉管疾病治疗与研究团队在耳鼻喉头颈外科顶级期刊JAMA Otolaryngology Head Neck Surgery,以原创性论著(Original Article)形式在线发表题为“Efficacy...
查看详情中枢神经系统恶性肿瘤,特别是胶质瘤、转移瘤等具有发病率高、侵袭性生长、预后不佳等特点。一旦复发,相应治疗选择非常有限,预后不佳且伴随着很大的副作用。CAR-T作为一种新兴的免疫治疗手...
查看详情2021年3月,四川大学华西医院药剂科何金汗教授和临床药学与药物不良反应研究室李艳萍副研究员在肝病领域顶尖期刊《Hepatology》(IF:14.679)正式发表题为“Sirt6 Alleviated Liver Fibrosis b...
查看详情近日,四川大学华西医院生物治疗国家重点实验室董浩浩研究员团队在国际期刊 Nature Structural & Molecular Biology(IF:12.109)上发表了题为 “Structural basis for bacterial lipoprote...
查看详情2021年1月,四川大学华西医院康复医学中心何成奇教授团队的临床研究成果“Effect of Internet-Based Rehabilitation Programs on Improvement of Pain and Physical Function in Patients wi...
查看详情2月25日,四川大学华西医院胃肠外科周总光教授团队、生物治疗国家重点实验室许恒研究员团队在Gut(IF:19.819)杂志在线发表题为“Genomic evolution and diverse models of systemic metast...
查看详情3月15日,国际学术期刊Cell子刊系列杂志Developmental Cell在线发表了四川大学生物治疗国家重点实验室杨万纯、庞德江博士后的文章--"Rheb Mediates Neuronal-activity-induced Mitochondrial...
查看详情2021年1月和2月,四川大学华西医院消化内科、四川大学-牛津大学华西消化道肿瘤联合研究中心杨丽教授、罗薛峰副教授团队先后在肝病领域顶尖期刊《Hepatology》(IF:14.679)和《Journal of He...
查看详情