为筑牢麻醉医疗质量安全底线,强化手术麻醉护理专业能力,推动区域麻醉学科高质量发展,11月15日,由我院主办的四川天府新区临床麻醉医疗质量控制中心2025年下半年医疗质量管理会及手术/麻醉...
查看详情为深入了解我院智慧医院建设情况,11月13日下午,四川省医院协会会长安劬、监事长成功等一行来我院调研。饶莉书记、刘万利副院长、相关职能部门负责人参加调研。安劬会长一行首先参观调研了...
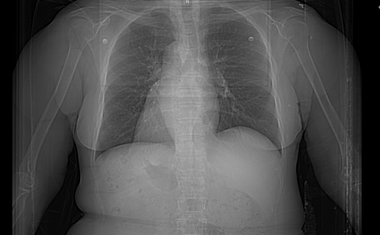
查看详情当心脏结构与常人呈完全镜像反转,手术便成了一场与解剖规律博弈的挑战。近日,真人电子网址心脏大血管外科方智副主任医师团队成功完成首例右位心的瓣膜置换手术,在镜像颠倒的解剖...
查看详情近日,由四川省医学会主办,四川省医学会风湿病学分会承办,我院实验医学科协办的第三届协和-华西自免专题研讨会在成都召开。本次会议汇聚了国内外自身免疫领域的顶尖专家与学者,围绕自身抗...
查看详情11月13日,护理部在行政楼组织召开了2025年第7次护理片区沟通会,护理部成员、片区负责人等20余人参加会议。会上,护理部就成都市护理临床重点专科申报工作进行专项汇报,并围绕人才建设、专...
查看详情11月8日至9日,第十届亚太儿童耳鼻咽喉科学会年会(APPOS 2025)在韩国首尔举行。我院耳鼻咽喉-头颈外科吕丹主任受邀参会,不仅担任专题会议主持,还进行大会发言及口头报告,承担多项学术工...
查看详情11月5日下午,我院党委在行政楼六会议室召开党委理论学习中心组2025年第六次(扩大)学习会,党委理论学习中心组成员、职能部门负责人、临床医技科室代表参加会议。会议重点组织学习《中共中...
查看详情11月8日至9日,由成都医学会主办,成都医学会耳鼻咽喉头颈外科专委会承办,成都中医药大学附属医院协办的“成都医学会耳鼻咽喉头颈外科专委会2025年学术年会”在成都举行。此次年会吸引了来...
查看详情为精进提升我院伤口/造口护理专业水平,筑牢患者安全防线,11月5日,我院护理部伤口/造口护理专项小组在门诊2楼A2区会议室召开专项会议暨“浅谈伤口换药-想‘腰’说爱你不容易”专题培训会。...
查看详情11月5日,由四川天府新区党工委党群工作部、工会办事处、教育和卫生健康局主办,四川天府新区公共卫生中心承办的2025年成都百万职工技能大赛四川天府新区卫生专业技术人员比赛在新区公卫中心...
查看详情为深入贯彻落实国家关于消防安全工作的部署要求,全面提升全院职工及在院患者的消防安全意识和自防自救能力,切实保障人民群众生命财产安全,在我国第34个“119消防宣传日”来临之际,11月6...
查看详情为深入学习贯彻习近平新时代中国特色社会主义思想,传承红色基因,强化医者使命担当,推动党建工作与医疗业务深度融合,11月1日至2日,我院临床医技科室第八党支部组织党员同志赴巴中市开展"...
查看详情11月2日,2025第五届中国眼整形金刀赛全国总决赛在北京举行,我院整形美容科伍俊良副主任医师凭借卓越的技术,荣获修复重建组“金刀奖”,我院获得“金刀奖单位”称号。我院整形美容科主任医...
查看详情为全面落实省、市药械化不良反应(事件)监测工作考核要求,进一步提升天府新区药械化不良反应(事件)监测工作质效,11月4日下午,天府新区药品不良反应监测工作座谈会在我院召开。本次会议...
查看详情10月29日,我院召开2025年度第一次内控领导小组、工作小组会暨2025年度内控风险评估及内控评价项目启动会。饶莉书记等全体在家院领导出席,行政职能部门负责人、各部门内控员参加会议。会上...
查看详情