为积极应对人口老龄化挑战,提升全院老年护理服务专业化水平,8月27日,护理部以“老年护理新理念”为主题,组织开展了2025年第八期全院护理大查房,全院护理骨干共计40余人参加。此次查房由...
查看详情为推动优质医疗资源下沉,8月29日下午,我院临床医技科室第五党支部赴四川省森林消防总队特勤大队营区开展联合党建活动,旨在加强医疗机构与消防救援队伍之间的协作,共同提升应急救援能力,...
查看详情8月29日,时值七夕佳节之际,一场主题为“天府正青春·‘医’‘建’倾心”青年职工联谊活动在兴隆湖湿地公园浪漫开启。本次活动由四川天府新区党工委党群工作部、四川天府新区工会办事处、天...
查看详情为持续筑牢护理质量安全防线,切实将管理要求落到实处,8月27日,护理部组织召开2025年度第八次护理质量与安全反馈沟通会,全院护理骨干40余人参加会议。会上,护理部首先围绕暑期督导及专项...
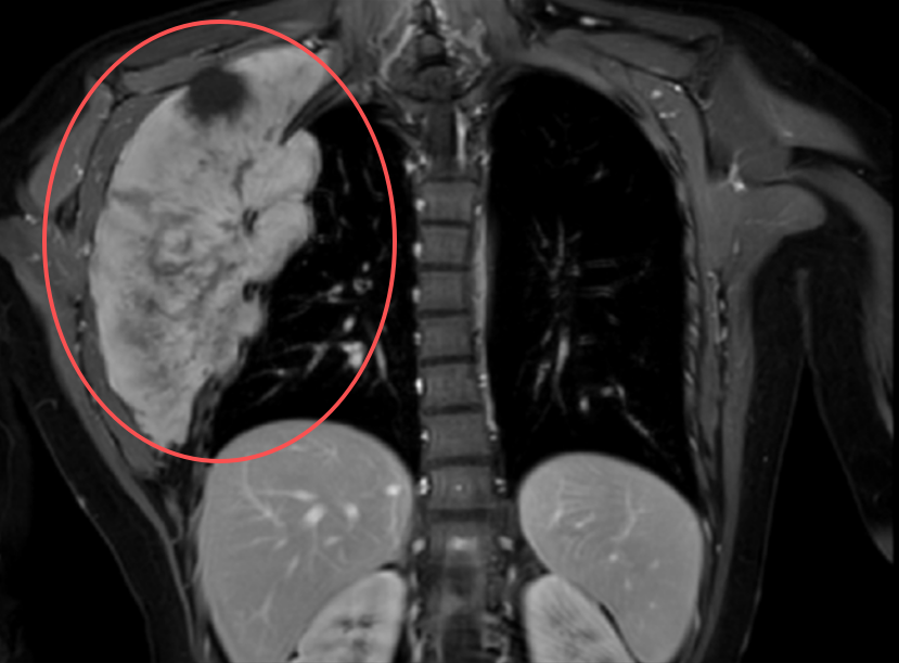
查看详情近日,真人电子网址胸外科林锋教授团队联合马林教授团队成功为一名21岁女性实施巨大胸壁肿瘤切除及胸壁重建手术,切除肿瘤约19×10×18cm,手术难度风险极大,涉及重要血管和神经结构...
查看详情8月7日至17日,第十二届世界运动会在成都成功举办,这是世界运动会(以下简称“成都世运会”)首次在中国大陆举办。成都世运会期间,作为赛事医疗保障体系的重要力量,我院肩负光荣使命,承...
查看详情近日,由四川天府新区医学会主办、四川泰康医院承办的“四川天府新区医学会检验医学专业委员会成立大会暨2025年检验进展学习班”在成都顺利举办。根据《二级学术组织管理办法》的相关规定,...
查看详情近日,真人电子网址乳腺疾病中心王晓东教授团队为一名左乳局部浸润性乳腺癌患者实施“左乳6点癌肿切除术+筋膜组织瓣成形术+左乳头移位乳晕整复术”,兼顾肿瘤根治与乳房美学修复,手...
查看详情每一个夜晚,手术室的无影灯穿透着长夜的静谧;每一个诊间,胸前的听诊器捕捉着生命的律动;每一间病房,一束束光影都在悄然记录着华西天府医者的坚守。今天,2025年8月19日,第八个中国医师...
查看详情为铭记历史、缅怀先烈,厚植家国情怀,激发奋进力量,8月5日,我院党群党支部与院团委联合组织开展《南京照相馆》红色观影活动。本次活动面向全院开放,各党支部党员、入党积极分子、团员及...
查看详情为进一步规范术后患者交接班流程,提升护理质量与患者安全保障水平,近日,护理部以“标准化术后患者交接班管理”为主题,组织开展了2025年第七期全院护理大查房,全院护理骨干共计40余人参...
查看详情为持续筑牢护理质量安全防线,推动护理管理精细化、规范化发展,7月23日,护理部组织召开了年度第七次护理质量与安全反馈沟通会,全院护理骨干40余人参加会议。会上,护理部以问题为导向,对...
查看详情7月25日,由四川省耳鼻咽喉头颈外科学会主办、我院耳鼻咽喉-头颈外科协办的“耳鼻咽喉头颈外科学科发展建设沙龙会暨人工智能与医疗健康应用实践及潜力发掘研讨会”在我院门诊二楼A2区会议室...
查看详情为提升院内儿童危急重症识别及应急处置能力,保障儿科(门诊)业务顺利开展,7月24日下午,医务部组织召开儿科急救知识培训会。会议由医务部部长刘敏主持,儿科阳川医师担任主讲。来自急诊科...
查看详情7月24日,我院2025年无偿献血活动在门诊广场举行,来自临床医技科室第一党支部、第三党支部等全院多个科室、部门的医务人员,以及患者家属积极参加,当天36人献血成功,捐献热血逾1万毫升。...
查看详情