近日,真人电子网址胸外科林锋教授团队联合马林教授团队成功为一名21岁女性实施巨大胸壁肿瘤切除及胸壁重建手术,切除肿瘤约19×10×18cm,手术难度风险极大,涉及重要血管和神经结构。此次手术的成功,标志着胸外科在复杂胸壁肿瘤综合治疗及胸壁重建领域的技术实力再上新台阶,为更多复杂疑难胸外科患者带来希望。
年轻女性右侧胸背部长出巨大肿瘤
患者小许(化名),今年21岁,五个月前,正在外地求学的小许偶然发现自己右侧胸背部出现了一个不明肿块,由于当时肿块并未引发胸闷、胸痛等任何不适症状,加上学业繁忙、身处异地就医不便,小许便暂时放松了警惕,没有及时前往医院进行检查。
然而,令人始料未及的是,这个看似 “无害” 的肿块,在短短几个月内快速增大,体积不断膨胀,巨大肿块不仅导致小许胸背部的外形出现明显改变,破坏了身体的正常轮廓,更对其心理健康和整体生活质量造成了严重干扰,让小许备受困扰。

7月暑假返乡后,小许立即前往真人电子网址胸外科找到林锋教授寻求专业诊疗。经过详细的检查评估,小许的右侧腋下至侧胸壁区域存在一个体积巨大的肿物,病情已不容拖延,必须尽快制定科学的治疗方案。
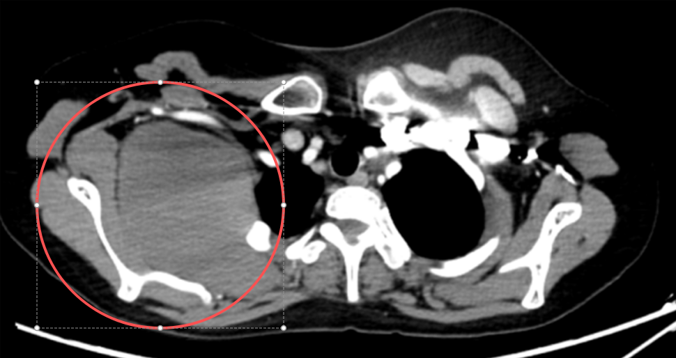
MRI及CT结果提示,肿瘤血供极其丰富,侵犯并包绕右侧第1-4肋骨,累及胸膜及部分肺组织,与锁骨下动静脉、臂丛神经、肩胛骨及右侧乳腺紧密相邻。
如此复杂的病情使手术面临多重风险:臂丛神经损伤,术后可能导致右上肢活动障碍;肿瘤血供丰富及锁骨下动静脉损伤,术中大出血严重时危及生命;大范围胸壁缺损重建,需进行复杂的胸壁及肋骨重建;创面修复和术后感染控制问题……

多科会诊,精细手术成功“拆弹”
面对这一高难度病例,林锋教授迅速组织胸外科、麻醉手术中心、乳腺外科、整形美容科、骨科多学科会诊,针对术前评估、术中策略及术后康复进行了充分讨论,制定了详细手术方案及应急预案,
为确保安全,林锋教授当天仅排了小许一台手术。
8月5日清晨,小许被推入手术室。为确保安全,林锋教授当天仅安排了小许这一台手术。手术由林锋教授、马林教授联合主刀,他们严格按照术前设计切口,逐层切开皮肤、肌肉,谨慎分离肿物与周围组织,小心游离并保护臂丛神经及锁骨下血管,成功离断受侵肋骨并处理与右肺上叶的粘连,最终完整切除巨大肿瘤。

肿瘤切除后,手术团队立即进行胸壁及肋骨重建,最大程度减少术后呼吸功能影响。
整个手术历时5小时8分钟,术中出血量控制在约500毫升,充分体现团队精湛的技术和默契的配合。
专业护理,助力术后康复
对小许而言,成功完成高难度手术关只是康复之路的起点,术后护理的专业性与精细化直接关系到疾病恢复与并发症的防控,其重要性不言而喻。考虑到此次手术创伤面积大、涉及胸壁重要结构重建,术后感染、呼吸功能异常、肢体活动受限等并发症的风险极高,胸外科护理团队从患者需求出发,为小许量身订制了全方位的术后护理方案。
术后两周,小许身体状况恢复正常,已于日前顺利出院。

出院当天,小许亲手将三封饱含真情的感谢信和三面锦旗送到胸外科医护团队手中,这不仅是一位年轻患者对医护人员衷心的感谢,更是对华西天府医院胸外科医疗技术与护理服务的高度认可,是医患之间信任与温暖的最好见证!