5月16日,华西天府医院妇科崔陶教授团队、泌尿外科刘振华副教授团队,联合麻醉手术中心团队,以及放射科等多学科团队,成功为一名子宫内膜癌合并肾癌及疑似肺癌的多原发肿瘤患者实施了内膜癌和肾癌的同台根治性手术。该多原发癌病例较为罕见,病情复杂,手术的顺利完成彰显了医院在多学科协作(MDT)和疑难危重患者救治上的实力。

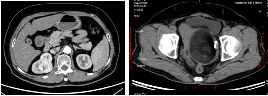
患者女性,63岁,因绝经后阴道出血在外院就诊,病理确诊为子宫内膜腺癌,拟行手术治疗,术前CT意外发现肾脏占位,考虑肿瘤。随后,患者来到华西天府医院就诊,行PET-CT检查发现右肾上极糖代谢轻度增高肿块,同时双肺多发磨玻璃样密度结节,医生初步考虑为肾癌以及原发性肺癌可能,经过肾脏穿刺病理确诊为确诊为肾透明细胞癌。患者5月14日入院,因病情涉及多系统肿瘤,手术需同时解决妇科与泌尿外科问题,且需评估肺部病灶性质,对术前规划、术中操作及术后管理提出极高要求。
5月15日,崔陶教授组织了泌尿外科、肿瘤科、麻醉手术中心、胸外科、放射科等多学科会诊,专家团队通过的术前精准评估,明确了手术优先级,确定肾癌与内膜癌同期处理,肺部结节术后再复查诊断,并与患者及家属沟通制定了治疗方案。

5月16日,按照手术计划,泌尿外科团队先行完成腹腔镜下右肾部分切除术,妇科团队接力完成单孔腹腔镜下子宫内膜癌根治术,切除了子宫、双侧输卵管卵巢、前哨淋巴结,术中出血仅100ml。患者术后2天恢复自主活动,目前病情稳定,后续将继续跟踪患者肺结节情况。