近日,华西天府医院胸外科成功为一名17岁的男孩小王(化名)实施了胸骨抬高法联合改良NUSS手术(微创漏斗胸矫正术),矫正其先天性极重度漏斗胸,帮助他重新挺起胸膛,改善了心肺功能,并重拾生活信心。

患马凡综合征合并极重度漏斗胸 小伙胸廓凹陷达6cm
小王自幼患有严重漏斗胸,14年前在外院行漏斗胸矫正术,因治疗效果不佳,未能改善患者胸廓外形,逐年加重,伴有明显胸闷症状,严重影响小王心肺功能和生活质量。小王及家属通过多方打听,慕名来到真人电子网址胸外科胸壁疾病中心寻求帮助,因小王家庭为外省贫困户,就医相对困难,林锋教授在第一时间将患者收治入院。
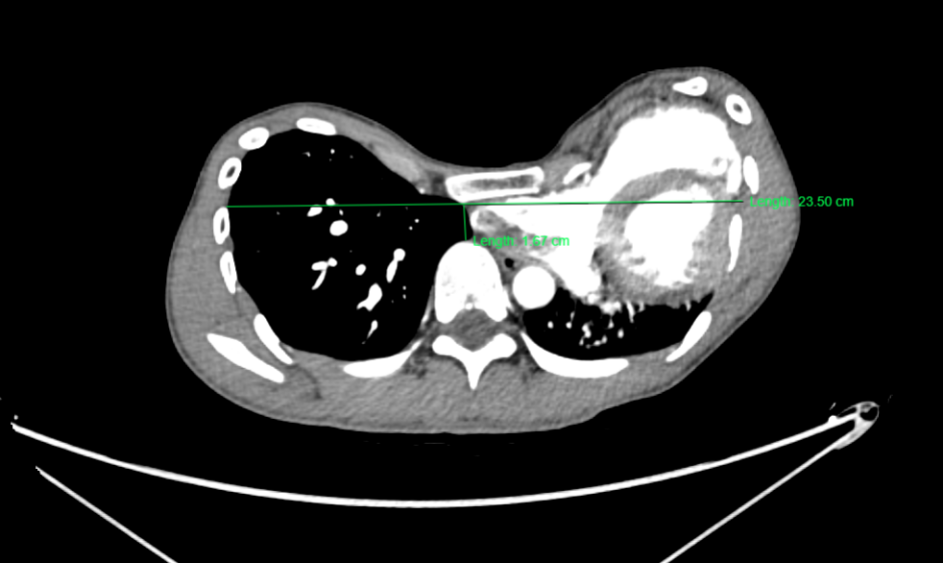
入院后检查发现小王身高190cm,体重仅65kg,胸壁呈严重凹陷畸形,胸廓凹陷最深处约6cm,胸骨下段及两侧肋骨向后极度凹陷形成漏斗状,脊柱“S”型侧弯及胸椎后凸明显,面容瘦长、四肢及手指脚趾细长、高度近视。询问家族史进一步了解到小王父母均患有严重先天性疾病。辅助检查显示,心脏超声:右心受压变形,主动脉窦部已明显增宽41mm。CT提示:漏斗胸“Haller”指数高达14.07,心肺严重受压,肺功能中度受损。结合查体、家族史及辅助检查,考虑诊断为:极重度漏斗合并马凡综合征。

患者术前情况

CT图
经评估后林锋教授认为,该手术难度在于:患者属于重度漏斗胸,胸骨后方间隙狭窄,矫形钢板通过难度大;患者心脏完全受压移位至左侧胸腔,并且患者患有心脏大血管疾病,矫形钢板通过胸腔时极易损伤心脏及主动脉等大血管;患者为二次手术,纵隔粘连严重,增加损伤胸腔大血管风险;患者体型高大胸廓凹陷范围大,增加胸廓矫形难度。因此该矫形手术术中存在极高的心脏及大血管损伤风险,手术难度风险系数极大。
多科会诊精准手术 恢复心肺功能与胸廓美观
面对复杂病情,胸外科林锋教授团队迅速组织多学科联合会诊,由胸外科、心外科、麻醉科等专家全面评估患者情况和手术风险。经床旁查体、查看病史及相关检验检查报告,心外科专家表示,小王暂无心脏手术指征,建议每年定期复查一次心脏超声和夹层动脉瘤CT;麻醉科专家评估表示,患者心功能Ⅱ级,有马凡综合征家族病史,脊柱侧弯,围手术期可能出现通气不足、心跳骤停等情况,围手术期期间需密切关注患者生命体征变化,维持患者循环稳定。
经多科讨论,根据患者存在极重度胸廓畸形、心肺受压等特点,胸外科为小王制定了以改良NUSS手术为主,并联合胸骨提升术的创新治疗方案。
12月6日下午15:28,在麻醉手术中心的密切配合下,林锋教授团队正式开始手术。
术中通过经食道超声心动图实时监测心功能,林锋教授首先于胸口剑突下开约2cm切口,分离胸骨后,使用胸骨拉钩缓慢提升胸骨至正常高度,缓解心脏压迫,同时为胸廓预塑形,于左右腋前线侧胸壁处分别做两个切口,由引导器牵引塑形的矫形板,最终使矫形板翻转后顶起凹陷的胸壁。
在林锋教授的熟练操作下,手术顺利结束,时长不到1小时,小王的胸廓外观当即恢复了正常,16:56小王从麻醉状态中苏醒。
术后第三天,小王即可下床活动,他的胸廓外观显著挺拔、心肺功能较前明显改善,脸上重新绽放了久违的笑容。经过短暂的住院康复,现已顺利出院。小王及家属对华西天府医院胸外科医护团队的高超技术和悉心照料表达了由衷的感谢。

术后胸廓情况
创新与关怀并行 造福更多患者
林锋教授介绍,漏斗胸是一种先天性胸廓畸形,常表现为胸骨和肋软骨向后凹陷,男性患者多见。轻度漏斗胸可能仅影响外观,但严重者可压迫心脏和肺,导致心肺功能障碍,表现为胸闷、气短、活动耐力下降等,需及时治疗。改良NUSS手术是目前治疗漏斗胸的主要方法,具有创伤小、恢复快、效果持久等优点。
华西天府医院胸外科系华西医院胸外科胸壁疾病中心,致力于各类胸壁疾病(畸形,肿瘤,外伤,感染)的外科诊治,并注重疑难杂症患者的多学科合作诊治。未来,华西天府医院胸外科将继续致力于更多复杂疑难病例的诊治,推动医疗技术创新,竭力为患者提供更加优质、高效的诊疗服务,守护每一位患者的生命健康与幸福生活。