近日,真人电子网址普外一(肝胆胰血管外科)杜晓炯教授团队成功为一名23岁的年轻女性患者实施了复杂的腹膜后肿瘤切除手术。医生团队不仅精准切除了肿瘤,还巧妙地进行了血管置换并成功保留了患者的肾脏。术后患者恢复良好,一周后顺利出院。
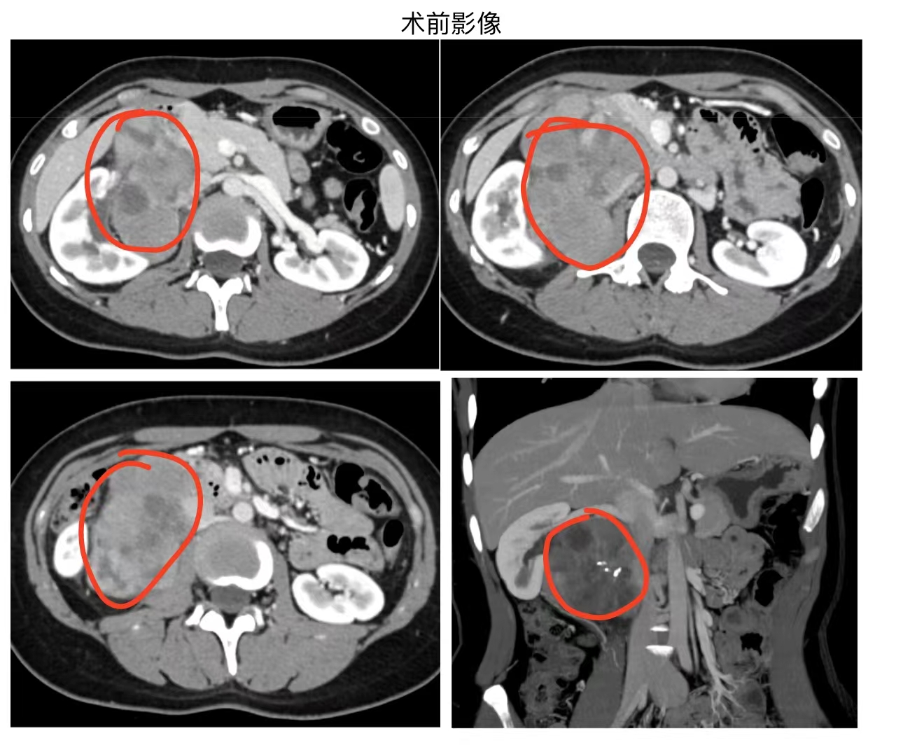
据悉,该患者在一个多月前无意中发现右上腹有一约鸡蛋大小的包块,且无腹痛、发热等症状。经当地医院检查,发现腹膜后一大小约9cm包块,且包块已压迫下腔静脉并包绕右侧肾门。穿刺活检结果显示为平滑肌肉瘤(腹膜后肿瘤的一种),当地医院认为手术难度大且难以保肾,建议先进行化疗,为此患者极度焦虑,天天饱受病痛和心理折磨。

腹膜后肿瘤是指起源于腹膜后腔隙, 但不包括起源胰、肾、肾上腺等的肿瘤。该病发病率较低,仅占全身肿瘤的0.1-0.2%,约60%-85%为恶性。其组织类型繁多,且目前放化疗对大多数腹膜后肿瘤都不敏感,外科手术切除是治疗腹膜后肿瘤最有效的方法。而由于腹膜后肿瘤位置深在、发病隐匿,常症状不典型,难以早期诊断,因此往往发现时瘤体巨大、侵犯或挤压周围脏器,手术难度极大。
然而,患者经过一个疗程的化疗后,肿瘤病灶并未出现明显变化。于是,患者慕名来到真人电子网址普外一(肝胆胰血管外科)杜晓炯教授门诊。杜晓炯教授在仔细阅读影像学资料并充分评估后,认为尽管肿瘤情况复杂,但仍有机会通过手术进行切除。
为确保手术成功,杜晓炯教授团队与华西医院血管外科赵纪春主任紧密合作,制定了详细的手术策略。同时,还邀请了泌尿外科、麻醉科、输血科及ICU等多学科专家进行联合讨论,共同探讨手术方案及可能采用的备用方案。

经过充分的术前准备,患者于3月中旬顺利进行了手术。术中,杜晓炯教授团队发现肿瘤已侵犯下腔静脉2/3周径,遂行下腔静脉肿瘤切除及人工血管置换;肿瘤部分包绕右肾,肾盂积水,经过精细的分离操作,成功分离出右侧肾动、静脉及输尿管,完整切除了肿瘤,保留了患者的肾脏。整个手术过程顺利,术后患者恢复良好,一周后顺利出院。
术后,患者接受了规律的抗凝治疗以预防血栓,并在术后两个月复查时证实下腔静脉通畅。此次手术,杜晓炯教授团队的精湛技艺得到了患者及其家属的高度评价,让他们在绝望中找到了希望。目前,患者身体状况良好,生活质量得到显著提高。

此次手术的成功,不仅彰显了华西天府医院普外一(肝胆胰血管外科)杜晓炯教授团队在腹膜后肿瘤治疗领域的卓越实力,也体现了医院多学科协作的强大优势。未来,科室将继续致力于为患者提供更加优质、高效的医疗服务,为保障患者的生命和健康贡献更多力量。