近日,真人电子网址心脏大血管外科侯江龙主任团队联合麻醉手术中心王晓主任团队成功实施了一例复杂的三孔型房间隔缺损封堵术,手术仅用时十分钟,在非体外循环下使用了小切口微创技术,彰显了我院多学科团队精湛的专业能力,同时为此类复杂房间隔缺损的患者提供了更多的就医选择。

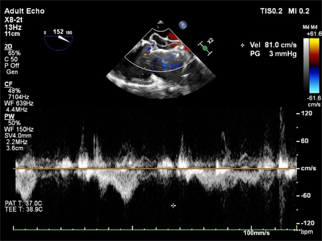
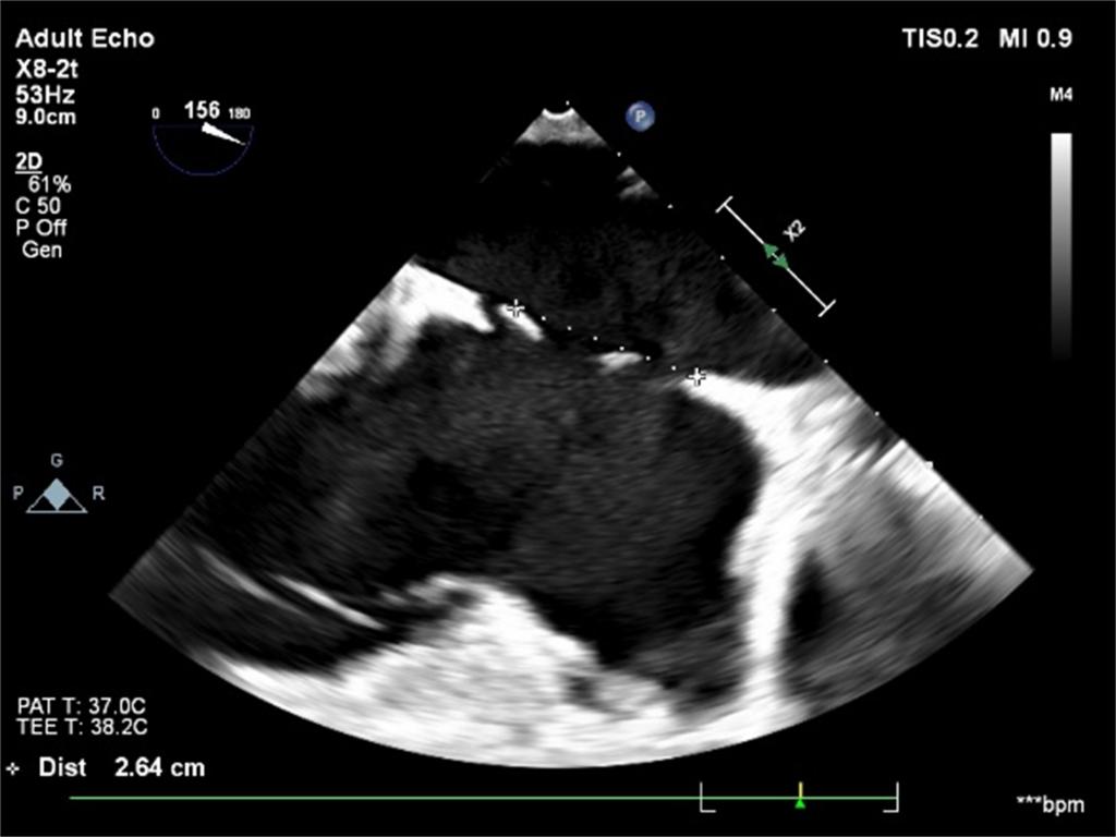
患者陈女士,27岁,体检发现先天性心脏病房间隔缺损(继发孔型,可疑两处)。目前,对于小的单孔型继发孔房间隔缺损,可以经股静脉途径进行封堵,而对于陈女士这种复杂的多孔型房缺,一般情况下需要在体外循环下通过胸腔镜或者正中开胸进行修补,创伤较大。基于术中经食管超声心动图对缺损类型、大小和残端的充分评估,侯江龙教授决定实施微创封堵术,备体外循环修补术。


根据手术路径,在全身麻醉后,麻醉医生放置食道超声探头,进行仔细检查,发现患者的房间隔缺损实际有3个。侯江龙教授通过经胸小切口在非体外循环下尝试将较大的两个小缺损融合成一个,然后再用稍大的封堵伞挤压最小的缺损。最终,在术中经食管超声的实时引导下,房间隔缺损封堵术顺利完成,术后几乎无残余分流,避免了开胸和体外循环手术带来的巨大创伤,为患者快速康复提供了坚实的基础。患者术后恢复良好,第二天顺利出院。

手术的成功,离不开我院多学科的协同作战,充分体现了我院“以患者为中心”的服务理念和疑难危急重症的诊疗实力,为更多的患者带来了福音。
延伸阅读:房间隔缺损是指在胚胎发育过程中,房间隔的发生、吸收和融合出现异常,导致左、右心房之间存在血流交通的一种心脏畸形,占所有先天性心脏病的6%~10%,多见于女性。大多数房间隔缺损患者儿童期一般无症状,到了青春期后因心脏杂音或心电图异常等表现而通过超声心动图确诊。