11月9日,我院泌尿外科刘振华教授团队联合心脏外科侯江龙教授团队、麻醉手术中心主任医师王晓团队以及超声医学科等多学科协作,成功为一位前列腺癌患者在全身麻醉下同期实施了经股静脉房间隔缺损封堵及腹腔镜前列腺癌根治手术。患者术后恢复良好,已于11月14日顺利出院。

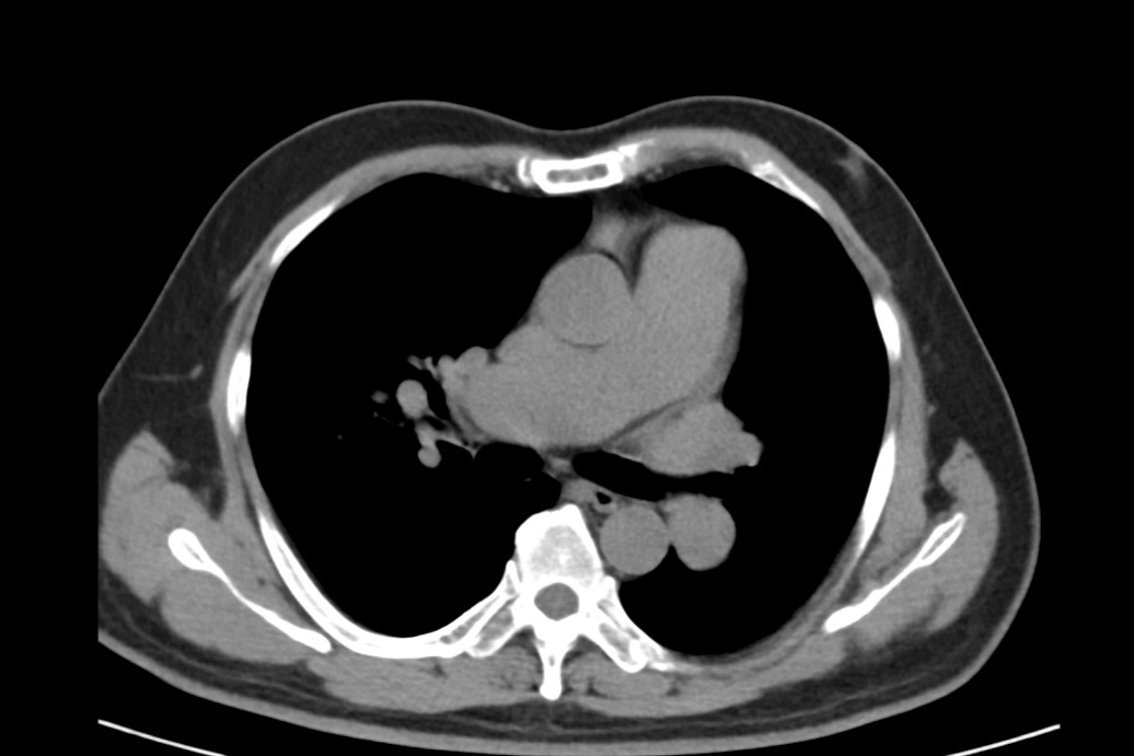
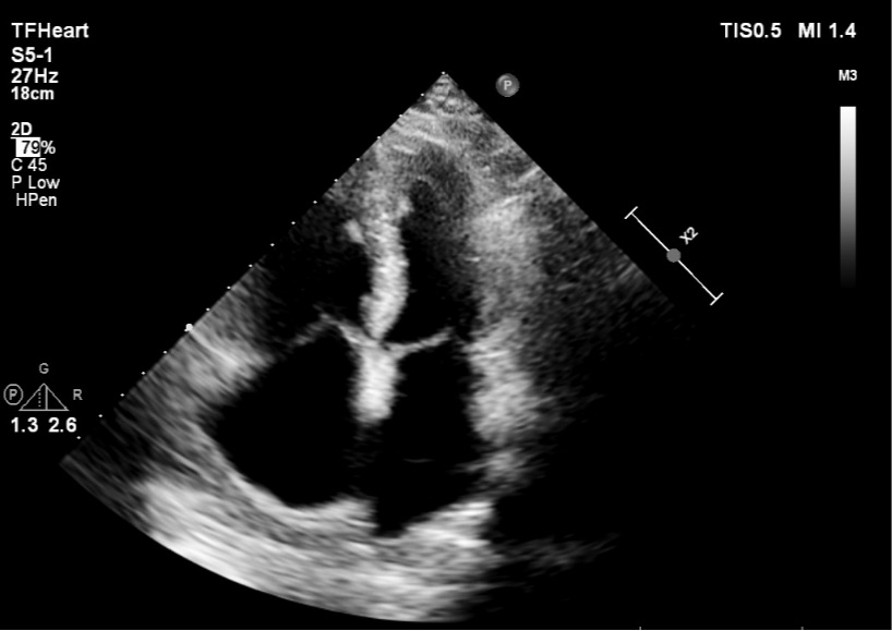
患者65岁,定期体检,自觉身体健康状况良好,既往无心脏疾病史。本次因前列腺疾病入院,在完善术前检查时,胸部CT却显示心脏明显增大,肺动脉及其分支明显增粗,提示肺动脉高压可能。这个异常信息立即引起了主管麻醉医生黄焜的关注,于是安排患者进行了心脏彩超检查。心脏彩超显示:房间隔中份回声失落27*23mm,房间隔缺损(继发孔型)房水平左向右分流,左室收缩功能测值正常。

图:CT提示肺动脉及其分枝明显增粗
房间隔缺损(atrial septal defect,ASD)是指在胚胎发育过程中,房间隔的发育、吸收和融合出现异常,导致左、右心房之间残留未闭的缺损,是成人最常见的先天性心脏病之一。在疾病早期由于左心的压力高于右心,所以血液会从左心分流至右心,随着疾病的不断进展,左向右分流会导致右心的压力越来越高,在疾病的晚期就会出现双向分流,甚至右心向左心的分流,医学上称之为艾森曼格综合征。如果发生艾森曼格综合征,患者就丧失了房缺修补或封堵手术的机会,预后很差,甚至需要心肺联合移植。

图:心脏彩超提示患者房间隔缺损
患者的另外一种疾病——前列腺癌,虽然是一种进展较缓慢的癌症,但是一旦前列腺癌快速生长或扩散到前列腺外,病情则比较严重,延期手术可能影响患者预后。
麻醉手术中心王晓主任根据该患者的情况,立即组织了心脏外科侯江龙教授、泌尿外科刘振华教授、麻醉科经食管超声心动图(TEE)团队和体外循环团队进行多学科会诊,共同讨论了患者围术期手术麻醉风险、经股静脉封堵成功率、同期手术时机及围术期抗凝等问题,并给患者及家属详细讲解病情后,患者主动要求先行经股动脉房间隔封堵后同期行前列腺癌根治术。
手术当日,在精准的术前TEE评估后,侯江龙教授于半小时内完成了经股静脉房间隔缺损封堵;随后,由刘振华教授顺利完成了腹腔镜前列腺癌根治术。
我院该例同期心脏微创手术联合前列腺癌根治手术的成功,既能更大程度上保证患者围术期的安全,又能避免两种限期疾病的延误,同时还减轻了患者二次入院、二次麻醉的负担,使患者在我院就医治疗过程中最大获益。